Late peritoneal leakage due to an abdominal wall defect: report of a rare complication.
DOI:
https://doi.org/10.25796/bdd.v8i1.86163Keywords:
Peritoneal Dialysis, Abdominal Wall, Surgery, Computed TomographyAbstract
Dialysate leakage is a complication of peritoneal dialysis with a 5% incidence rate. Late leaks are rare, and symptoms are subtle, as fluid loss occurs most often through abdominal wall defects.
An 83-year-old diabetic woman was started on automated peritoneal dialysis one month after catheter placement. Three years later, the patient complained of tiredness, peripheral edema, and abdominal pressure. Inspection showed local erythema and orange-peel skin. A computed tomography scan showed periumbilical drainage, suggesting a peritoneal leak. The patient was referred for surgery, which found a 5 mm aponeurotic defect; a herniorrhaphy was performed. The patient resumed her usual treatments without further complications.
Dialysate leaks may lead to discontinuation of peritoneal dialysis. The clinical presentation can be insidious, as in this case. Active surveillance was pursued, and the patient was managed without the need for temporary switching to hemodialysis.
Introduction
Peritoneal dialysate leakage is a rare complication of peritoneal dialysis (PD). It most often occurs within 30 days after catheter insertion, and the most common presentation is pericatheter fluid leaking from or around the exit site. Late leaks are rare, and symptoms are more subtle, as fluid loss most often takes place through abdominal wall defects. Patients may complain of subcutaneous or genital edema, swelling, or slight discomfort [1]. Imaging techniques such as computed tomography are used to confirm the diagnosis and guide surgical management [2].
Case Report
An 83-year-old woman with end-stage kidney disease (ESKD) due to presumed diabetic nephropathy started automated peritoneal dialysis (APD) in 2021, one month after percutaneous placement of a silicon double-cuff PD catheter on the left paramedian abdominal wall.
The patient had a previous history of type 2 diabetes mellitus with microvascular (retinopathy and nephropathy) and macrovascular (peripheral artery disease and ischaemic heart disease) complications and hypothyroidism. She had had two healthy, full-term pregnancies. There was no history of abdominal wall defects, abdominal wall surgery (besides catheter placement), or other risk factors such as previous courses of steroid therapy.
The initial follow-up after starting PD was uneventful. After 3 years, Kt/V for urea was 2.2, creatinine clearance was 63L/week, residual urinary output was 1L/day, and there was no ultrafiltration (UF) failure. However, the patient presented to a regular follow-up consultation complaining of tiredness, anorexia, and peripheral edema. Due to the risk of further loss of residual renal function, the dialysis dose was incremented by adding one extra manual dwell with icodextrin to increase peritoneal UF.
After one week, she came to our emergency department complaining of a sensation of pressure below her umbilicus. Inspection showed local erythema and an orange-peel appearance of the skin that did not follow the path of the subcutaneous tunnel but rather extended throughout the infraumbilical region ( Figure 1). The exit site showed no signs of inflammation, and peritoneal effluent was clear. The patient’s vital signs were normal.
Figure 1.Orange-peel appearance of the skin in the abdominal region
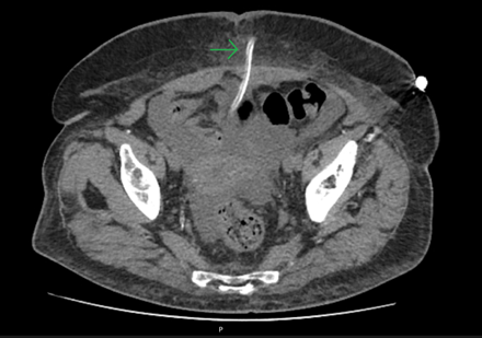
To assess for a possible peri-catheter leak and rule out a catheter fracture, a computed tomography (CT) scan was performed with contrast infusion into the peritoneal cavity (Figure 2 and Figure 3). The protocol included a standard non-contrast CT scan followed by a 2 h dwell of 1.36% glucose dialysate to which 100 ml of contrast was added, comprising a total of 2 liters of infused fluid.
Figure 2. Transversal CT cut
Figure 3.
A second CT scan was performed afterward. Imaging showed dialysate drainage through the midline in the periumbilical region, where there was also significant adipose tissue densification. Intraperitoneal pressure was not measured at this time.
A small break in the catheter tubing resulting in drainage through the closest weak point on the abdominal wall (in this case, the linea alba) was considered to be the most probable cause, and the patient was referred for elective corrective surgery.
After the CT scan, the peritoneal fluid was completely drained with no complications. The dialysis protocol was changed, including withdrawal of the manual day dwell, to reduce intraperitoneal pressure. The patient was started on antimicrobial therapy with ciprofloxacin 250 mg every 12 hours and prophylactic oral nystatin for the following days while awaiting surgery. Because there was no loss of ultrafiltration, the new protocol was kept throughout this period, and careful monitoring was performed.
Surgery was performed 2 weeks later through an infraumbilical incision; a small 5 mm aponeurotic defect concerning the umbilicus was found. A herniorrhaphy was then performed with the PD catheter remaining untouched. The patient resumed her usual treatments without further complications.
Discussion
Late peritoneal dialysate leakage is defined in the literature as taking place at least 30 days after catheter placement. Research data is scarce. The largest retrospective cohort study to date reports the same 5% incidence rate for both early (within 30 days) and late leaks (which occur throughout the following 10 years). Only 3.6% present after 3 years, which illustrates their rarity [3]. Common risk factors include abdominal surgery, previous pregnancy, and treatment with corticosteroids [1]. A smaller study reported a greater incidence of late leaks in female patients with left-sided catheters—such as our patient—treated with continuous ambulatory PD [4]. It is reasonable to question if the extra dwell that was added to the protocol the week before might have contributed to increased intraabdominal pressure, herniation, and subsequent leak development.
Data on the incidence of different types of leaks (peritoneal, pericatheter, and subcutaneous) is also lacking. One Canadian study reports two of eight late leak cases as being related to abdominal wall herniation [5], whereas the most recent late leak report links it to accidental needling of the catheter, stressing how infrequent late leaks are regardless of their causes [6].
As previously mentioned, symptoms are also more elusive. Actual leaking is present in less than 25% of cases. Poor dialysate outflow is the most common manifestation [3], but our patient did not present this sign. Moreover, orange-peel skin is even less frequent, and few reports list it as a possible sign to consider [7][8]despite it being the most prominent finding on physical examination in this particular case.
Conclusion
Dialysate leaks are mechanical complications of PD, with an estimated incidence of 5%. The clinical presentation can be subtle, which was highlighted in this case. Dialysate leaks may lead to the discontinuation of PD. In this case, active surveillance was pursued, and the patient managed with abdominal wall repair without the need for temporary switching to hemodialysis. This strategy has several advantages for the patient, as it maintains quality of life and reduces the morbidity risk associated with invasive procedures while also optimizing institutional resources.
Authors’ Contributions
The authors Pilar Burillo Simões and Andreia Curto were involved in writing most of this manuscript, while Joana Marques, Vasco Fernandes, Fernanda Gomes, Teresa Marques, Cristina Jorge, and Ana Carina Ferreira provided invaluable clinical insight and reviewed and approved the final submitted version.
ORCISid
Maria do Pilar Burillo Simões de Baião Figueiredo: https://orcid.org/0000-0002-6651-1378
Andreia Curto: https://orcid.org/0000-0001-5830-6086
Joana Marques: https://orcid.org/0000-0002-7216-8086
Vasco Fernandes: https://orcid.org/0000-0003-1798-4387
Ana Carina Ferreira: https://orcid.org/0000-0002-1323-5293
Fernanda Gomes: https://orcid.org/0009-0008-5406-8015
Teresa Marques: https://orcid.org/0009-0000-3726-9351
Cristina Jorge: https://orcid.org/0000-0001-7850-4805
Patient Consent
The patient kindly gave her consent to publish the case.
Funding
There has been no significant financial support for this work.
Conflicts of Interest
We know of no conflicts of interest associated with this publication. We also confirm that the manuscript has been read and approved for submission by all the named authors.
References
- Leblanc M., Ouimet D., Pichette V.. Dialysate leaks in peritoneal dialysis. Semin Dial. 2001; 14(1):50-54. DOI
- Duquennoy S., Leduc V., Podevin E.. Imaging and leaks in peritoneal dialysis. Bull Dial Domic. 2021; 4(2):61-63. DOI
- Tzamaloukas A.H., Gibel L.J., Eisenberg B.. Early and late peritoneal dialysate leaks in patients on CAPD. Adv Perit Dial. 1990; 6:64-71.
- Albaz M., Kantaci G., Tuglular S., Tercüman N., Tetik G., Ozener C.. Causes of late leaks in peritoneal dialysis patients. EDTNA ERCA J. 2002; 28(4):170-172. DOI
- Hirsch D.J., Jindal K.K.. Late leaks in peritoneal dialysis patients. Nephrol Dial Transplant. 1991; 6(9):670-671. DOI
- Horowitz L., Ashley J., Brassil M., Marcuzzi D., Perl J.. Late peritoneal dialysis exit-site leak: a case report. Kidney Med. 2023; 5(7)DOI
- Surgical aspects of the Tenckhoff peritoneal dialysis catheter. A 7-year experience. Am J Surg. 1985; 149(3):339-342. DOI
- S El Maakoul, K Darbal, N Ouzeddoun, L Benamar. Maintenance of peritoneal dialysis despite subcutaneous leakage: a case report. Bull Dial Domic [Internet. 2024; 25];7(3):121-6DOI
References
Leblanc M, Ouimet D, Pichette V. Dialysate leaks in peritoneal dialysis. Semin Dial. 2001;14(1):50-54. doi:10.1046/j.1525-139x.2001.00014.x
Duquennoy S, Leduc V, Podevin E. Imaging and leaks in peritoneal dialysis. Bull Dial Domic. 2021;4(2):61-63. doi: https://doi.org/10.25796/bdd.v4i2.61763
Tzamaloukas AH, Gibel LJ, Eisenberg B, et al. Early and late peritoneal dialysate leaks in patients on CAPD. Adv Perit Dial. 1990;6:64-71.
Albaz M, Kantaci G, Tuglular S, Tercüman N, Tetik G, Ozener C. Causes of late leaks in peritoneal dialysis patients. EDTNA ERCA J. 2002;28(4):170-172. doi:10.1111/j.1755-6686.2002.tb00238.x
Hirsch DJ, Jindal KK. Late leaks in peritoneal dialysis patients. Nephrol Dial Transplant. 1991;6(9):670-671. doi:10.1093/ndt/6.9.670
Horowitz L, Ashley J, Brassil M, Marcuzzi D, Perl J. Late peritoneal dialysis exit-site leak: a case report. Kidney Med. 2023;5(7):100647. doi:10.1016/j.xkme.2023.100647
Bullmaster JR, Miller SF, Finley RK Jr, Jones LM. Surgical aspects of the Tenckhoff peritoneal dialysis catheter. A 7-year experience. Am J Surg. 1985;149(3):339-342. doi:10.1016/s0002-9610(85)80103-3
El Maakoul S, Darbal K, Ouzeddoun N, Benamar L. Maintenance of peritoneal dialysis despite subcutaneous leakage: a case report. Bull Dial Domic [Internet]. 2024 Sep. 8 [cited 2025 Jan. 25];7(3):121-6. https://doi.org/10.25796/bdd.v7i3.83813
Downloads
Submitted
Accepted
Published
How to Cite
Issue
Section
License
Copyright (c) 2025 Pilar Burillo Simões, Andreia Curto, Joana Marques, Vasco Fernandes, Ana Carina Ferreira, Fernanda Gomes, Teresa Marques, Cristina Jorge

This work is licensed under a Creative Commons Attribution 4.0 International License.






