Profile of pericarditis in peritoneal dialysis: about 5 cases
DOI:
https://doi.org/10.25796/bdd.v7i2.83523Keywords:
peritoneal dialysis, pericardial effusion, acute pericarditisAbstract
Cardiovascular complications are common in peritoneal dialysis patients, but acute pericarditis is a rare occurrence. Early and appropriate diagnosis and management of acute pericarditis are crucial to prevent serious complications such as cardiac tamponade. Although anti-inflammatory treatments are often effective, particular attention needs to be paid to adverse effects, especially in patients with renal impairment. Further studies are needed to better understand the underlying mechanisms and optimize therapeutic strategies for this patient population. In this article, we present five clinical cases of acute pericarditis among 239 peritoneal dialysis patients.
Introduction
Acute pericarditis is an inflammation of the pericardial leaflets with or without associated effusion. Subdialysis is the leading cause of pericardial effusion in patients with chronic end-stage renal disease. [1] Other etiologies may also be present, notably tuberculosis. Studies carried out in Morocco have shown a high prevalence of acute pericarditis in chronic hemodialysis patients, ranging from 1% to 7%, compared with the general population. [2,3,4] Our aim is to describe the clinical and paraclinical features of acute pericarditis in 5 patients with this condition in 239 peritoneal dialysis (PD) patients who have been followed in our hospital.
OBSERVATIONS
Clinical Case 1
A 35-year-old female hypertensive patient on continuous ambulatory peritoneal dialysis (CAPD) since 2020, with 3 exchanges per day (two 2.27% glucose solutions during the day + icodextrin solution at night). The measured dialysis dose was a total Kt/V of 0.87 and a weekly creatinine clearance (WCC) of 28 L/week/1.73 m2, nPCR at 0.6 g/kg/D.
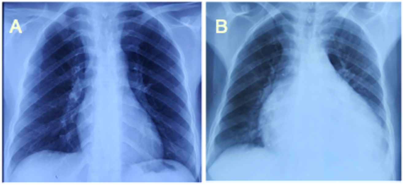
The patient presented to the emergency department with acute left lateral chest pain, worsening on inspiration and in a supine position. She also had a recent flu-like illness. Physical examination revealed an apyretic patient who was tachycardic at 100 bpm, with BP of 170/100 mmHg; eupneic, with SpO2 of 98% on room air; with pericardial rub on auscultation; and with no signs of overload. The electrocardiogram (ECG) showed no ST segment or PR interval abnormalities. Chest X-ray revealed cardiomegaly (Figure 1).
Figure 1.(A) Chest X-ray from 2021. (B) Admission chest radiograph showing cardiomegaly (cardiothoracic index 0.8).
Trans Thoracic Echocardiography (TTE) revealed a 14-mm circumferential pericardial effusion of moderate size, with no right chamber involvement and a left ventricular ejection fraction (LVEF) of 68% ( Figure 2.). Biological tests revealed an inflammatory syndrome (CRP 58 mg/L) and negative troponin at 21 ng/dL.
Figure 2.Subcortical (A) and apical (B) echocardiographic sections, showing a 14-mm pericardial effusion.
The diagnosis of presumed viral acute pericarditis was made in view of pericardial effusion + biological inflammatory syndrome + recent influenza-like illness. We decided to intensify dialysis and optimize ultrafiltration. The evolution after 3 weeks was marked by worsening chest pain and dyspnea in a context of deteriorating general condition. The biological findings were hyponatremia of 128 mEq/L and CRP of 141 mg/L. TTE examination revealed minimal pericardial effusion with fibrin and suspicion of incipient constrictive pericarditis. We were unable to perform a pericardial puncture, given the minimal abundance of the pericardial effusion. In view of this clinical picture (deterioration in general condition + effusion with fibrin + worsening
of inflammatory markers + hyponatremia) and our epidemiological context, a tuberculosis workup was requested, which came back negative. The patient began trial treatment with anti-bacillary agents at appropriate doses: quadritherapy for 2 months, then dual therapy with rifampicin-isoniazid, for a total of 6 months, with a favorable clinical and biological evolution, and CRP negativation at 2 mg/L after 1 month.
Clinical case 2
A male patient aged 23, on automated peritoneal dialysis since 2021 (APD: total volume 10 L, 4 cycles of 2 h, injection volume 2 L, final stasis 1 L, concentrations 2.27%). The measured dialysis dose was a total Kt/V of 1.35 and a WCCr of 38 L/week/1.73 m2, nPCR at 0.85. One week prior to admission, the patient presented with non-radiating retrosternal chest pain with dyspnea. An ECG and chest X-ray were performed, which came back unremarkable. With worsening chest pain and dyspnea, the patient was admitted to the emergency department. Clinical examination revealed tachycardia at 115 bpm, BP 140/90 mmHg, apyrexia, decreased heart sounds, orthopnea, SpO2 of 95% on room air, no crepitus rales, and no signs of right heart failure. ECG showed diffuse microvoltage. Chest X-ray revealed cardiomegaly (ICT 0.7) with hilar overload (Figure 3.). TTE showed a large circumferential pericardial effusion at 23 mm without collapse, with fibrin deposits, dilated IVC, and 50% LVEF (Figure 4.). A biological inflammatory syndrome was present, with CRP of 160 mg/L without hyperleukocytosis, and negative troponin 28 ng/dL. The patient underwent emergency pericardiocentesis, yielding 500 mL of hematic, exudate fluid (protein 56 g/L). Cytobacteriological examination, BK testing, and GeneXpert in the puncture fluid were negative, with no cells suspected of malignancy on pathology.
Figure 3.Chest X-ray showing cardiomegaly (ICT 0.7) with hilar overload
Figure 4.Subcutaneous TTE section showing a large pericardial effusion with fibrin
At the end of these workups, the etiological diagnosis of presumed viral acute pericarditis was retained with an overload component after eliminating other probable etiologies. We decided not to give anti-inflammatory treatment and to optimize ultrafiltration. The evolution was marked by a clear clinical and biological improvement, with regression of pain and resumption of feeding and patient autonomy. A follow-up TTE revealed significant resolution of the pericardial effusion after 1 month.
Clinical case 3
A 41-year-old male patient on CAPD since 2023 with 3 exchanges per day (two 1.36% glucose solutions during the day + 2.27% glucose solution at night). The measured dialysis dose was a total Kt/V of 1.59 and a WCCr of 52 L/week/1.73 m2, nPCR at 0.71 g/kg/D. Two days prior to admission, he presented with retrosternal chest pain, dyspnea, and unquantified fever. The patient was admitted to the emergency department in a state of respiratory distress, tachycardia of 127 bpm, BP of 140/110 mmHg, and muffled heart sounds, with no signs of right heart failure. The ECG was unremarkable. TTE revealed a 48-mm circumferential pericardial effusion pre-tamponade with right atrial collapse, 25% LVEF, and dilated non-compliant IVC. Biological findings included an inflammatory syndrome (CRP of 76 mg/L) and a positive troponin of 2008 ng/dL. The patient underwent emergency pericardiocentesis, yielding 1000 mL of citrine-yellow exudated fluid. The cytobacteriological study of the puncture fluid was negative. In view of this clinical picture, we accepted the diagnosis of viral myopericarditis. The patient was started on aspirin and colchicine 0.5 mg/d for 3 months.
Clinical case 4
A female patient aged 22, on CAPD for 3 months, with 3 exchanges per day (two 2.27% glucose solutions during the day + icodextrin solution at night). The measured dialysis dose was a total Kt/V of 1.54 and a WCCr of 50 L/week/1.73 m2, nPCR at 1.24 g/kg/D. The history of illness dates back to 1 week before admission, when the patient underwent surgery to reposition her dysfunctional PD catheter, with the notion of stopping dialysis for 5 days. Late postoperatively, she presented with acute right lateral chest pain with dyspnea. Clinical examination was unremarkable, with BP of 138/74 mmHg. ECG was normal. Chest X-ray showed cardiomegaly. TTE showed a minimal 8-mm pericardial effusion, with LVEF of 60%. Biological findings included metabolic disorders (Table I), an inflammatory syndrome (CRP of 53 mg/L), and negative troponin. We retained the diagnosis of acute uremic pericarditis. The patient benefited from intensified dialysis, with a favorable evolution over 15 days.
Biological parameters |
Case 1 |
Case 2 |
Case 3 |
Case 4 |
Case 5 |
CRP (mg/L) |
58 |
160 |
76 |
53 |
35 |
Leukocytes/mm3 |
5600 |
9400 |
8356 |
5900 |
11 380 |
Troponin (ng/dL) |
21 |
28 |
2008 |
189 |
ND |
Purification | |||||
Kt/V |
0.87 |
1.35 |
1.59 |
1.54 |
1.36 |
CHC (L/week/1.73 m)2 |
28 |
38 |
52 |
50 |
43 |
FRR (mL/min) |
Anuric |
Anuric |
1.73 |
0.4 |
Anuric |
Urea (g/L) |
1.8 |
1.36 |
1.02 |
2.17 |
0.98 |
Blood creatinine (mg/L) |
164 |
201 |
93 |
126 |
165 |
Natremia (mEq/L) |
134 |
131 |
135 |
134 |
136 |
Kalemia (mEq/L) |
4.4 |
4.1 |
4.2 |
4.3 |
4 |
Alkaline reserves (mEq/L) |
22 |
20 |
26 |
26 |
27 |
Uric acid (mg/L) |
66 |
79 |
40 |
102 |
62 |
Nutritional status | |||||
nPCR |
0.6 |
0.85 |
0.71 |
1.24 |
0.77 |
Albumin (g/L) |
30 |
31 |
35 |
31 |
30 |
Total proteins (g/L) |
63 |
51 |
59 |
62 |
67 |
Phosphorus (mg/L) |
54 |
66 |
57 |
60 |
48 |
Calcemia (mg/L) |
63 |
61 |
96 |
75 |
85 |
Hemoglobin (g/dL) |
9.1 |
9.2 |
8.9 |
9.6 |
10.5 |
Total cholesterol (g/L) |
2.05 |
1.92 |
2 |
1.24 |
1.21 |
Clinical case 5
A female patient aged 24, on APD (total volume of 9.5 L, 5 cycles of 2 h, injection volume of 1700 mL, final stasis of 1500 mL, and concentrations of 1.36%) since 2019. The measured dialysis dose was a total Kt/V of 1.36 and a WCCr of 43 L/week/1.73 m2, nPCR at 0.77 g/kg/D. She presented 10 months after the start of PD with acute chest pain, dyspnea, tachycardia on clinical examination at 113 bpm, BP of 150/100 mmHg, and pleural effusion syndrome. Chest X-ray confirmed moderate left pleurisy. TTE revealed a large 27-mm circumferential pericardial effusion, with no signs of right-sided collapse, and a biologic inflammatory syndrome (CRP 35 mg/L). The patient underwent emergency pericardiocentesis with drainage of 4 L of transudative (protein < 8 g/L) pericardial fluid over 48 h, with glucose at 2.45 g/L; cyto-bacteriological examination and BK testing were negative. Peritoneal scintigraphy showed no evidence of leakage. However, the evolution was marked by recurrent pericardial effusions. In view of these clinical and biological arguments, we accepted the diagnosis of a peritoneo-pericardial leak. We therefore decided to suspend PD for 12 days and switch to hemodialysis, as the patient was anuric, before resuming low-volume APD. Progression was favorable over 6 months, with a progressive volume increase and no recurrence of the leak.
The five observation are summarized in Table II.
Clinical cases |
Case 1 |
Case 2 |
Case 3 |
Case 4 |
Case 5 |
Age (years) |
35 |
23 |
41 |
22 |
24 |
Gender |
Woman |
Man |
Man |
Woman |
Woman |
Chest pain |
Yes |
Yes |
Yes |
Yes |
Yes |
Dyspnea |
No |
Yes |
Yes |
Yes |
Yes |
Arterial hypotension |
No |
No |
No |
No |
No |
Pericardial friction |
Yes |
No |
No |
No |
No |
|
Pericardial effusion
|
Average abundance 14 mm |
Great abundance 23 mm |
Great abundance 48 mm |
Low abundance 8 mm |
Great abundance 27 mm |
Electrical signs |
No |
Yes |
No |
No |
No |
Pericardiocentesis |
No |
Yes |
Yes |
No |
Yes |
Etiology |
Tuberculosis |
Viral + Uremic |
Viral |
Uremic |
Peritoneal-pericardial leak |
Treatment |
Anti-bacillary |
Intensified dialysis
|
Colchicine + NSAIDs |
Intensified dialysis
|
Temporary suspension of PD |
Evolution |
Favorable |
Favorable |
Favorable |
Favorable |
Favorable |
Discussion and results
We reported 5 clinical cases of acute pericarditis among 239 peritoneal dialysis patients, representing a prevalence of 2.09%. All our patients were in good general condition and active prior to the episode of pericarditis. The positive diagnosis of acute pericarditis was made according to the criteria of the European Society of Cardiology (ESC; 2/4 criteria): chest pain, pericardial friction, pericardial effusion on TTE, and ST elevation or PR interval depression on ECG. [5]
The etiological diagnosis of pericarditis was difficult, given the variability of clinical presentations and the lack of contribution from bacteriological tests, which were negative in most cases. There are few data in the literature on acute pericarditis in peritoneal dialysis patients.
Uremic pericarditis remains the first diagnosis to be evoked, but all etiologies are possible, especially infectious ones such as tuberculosis in our context[2].We retained a tuberculosis origin in one patient, given the following criteria: deterioration of general condition, rapid evolution towards constrictive pericarditis, and our endemic context in Morocco.
The incidence of tuberculosis has been estimated at 35 000 cases in 2021 in Morocco, according to the WHO. Tuberculous pericarditis is the most serious extrapulmonary form of tuberculosis, with a high mortality rate of 18% to 25% in the general population of Africa[6]. The etiological diagnosis of acute pericarditis is often delayed, given the great variability of clinical presentations in this population of chronic dialysis patients[6][7]. In a retrospective study carried out in the nephrology department of the CHU ibn Sina in Rabat between 2006 and 2022, the prevalence of tuberculosis was 5.26% among 228 PD patients, with 4 cases of pulmonary tuberculosis and 8 cases of extrapulmonary tuberculosis (peritoneal, pleural, lymph node) [8].
One case of associated myocarditis was diagnosed in a single patient in our series, who was treated with colchicine plus anti-inflammatory therapy. According to the ESC, serum troponin assays should be performed systematically in all cases of acute pericarditis, in search of associated myocarditis [2]. The efficacy of anti-inflammatory treatments and colchicine in the management of acute pericarditis is not recommended in the context of chronic end-stage renal disease. Pericardial drainage is mandatory in the event of clinical or echographic signs of hemodynamic instability [2][6].
The immediate prognosis for acute pericarditis is progression to tamponade, which occurs in 10-20% of dialysis patients. [2,9] Hemorrhagic pericardial tamponade occurs in uremic patients but is rarely observed in patients on peritoneal dialysis[10]. We have identified 2 cases of pericardial pre-tamponade, which, given the abundance of the effusion, required emergency pericardiocentesis for therapeutic and diagnostic purposes.
Risk factors for the development of pericardial effusion in patients with chronic renal failure reported in the literature include hypoalbuminemia, hypocalcemia, and hyperuricemia [11]. In our series, 3 patients had hypocalcemia, and 2 patients had hyperuricemia. In a study of patients with chronic renal failure, hypocalcemia was shown to be a predictor of moderate to severe pericardial effusion[6]. But to date, these hypotheses have not been confirmed by comparative studies.
We have reported a single case of pericarditis related to peritoneopericardial leakage, which represents a rare complication of peritoneal dialysis. Pleural or pericardial leaks tend to develop during the first year of CAPD [11], although few cases have been reported in the literature. These leaks are often related to mechanical or surgical tearing of the peritoneal membrane[12]. Risk factors for peritoneal leakage reported in the literature include abdominal wall weakness, previous cardiovascular or abdominal surgery, too rapid an increase in infusion volume, obesity, and multiple pregnancies [12][13]. Peritoneal scintigraphy is the examination of choice for diagnostic confirmation but is nonspecific. In our case, the diagnosis of peritoneopericardial leak was based on clinical and echographic criteria. Treatment of such leaks consists of reducing dialysate volumes, temporarily suspending the technique, or even surgical repair[11].
Conclusion
Acute pericarditis is one of the major cardiovascular complications of dialysis patients and can be life-threatening. Infectious etiologies should always be considered, especially tuberculosis, which often goes undetected under the assumption of a viral or uremic cause. The etiological diagnosis is often made based on clinical and ultrasonographic criteria, and according to the epidemiological context. Anti-bacillary treatment must be started promptly in cases of strong suspicion of tuberculous pericarditis to avoid complications such as progression to constrictive pericarditis. Other rare etiologies can also cause pericardial effusion, notably peritoneal-pericardial leakage, which is often difficult to diagnose.
Conflicts of interest
The authors declare no conflict of interest for this article.
Financing
The authors received no financial support for the research, writing, and/or publication of this article
References
- Rehman K.A., Betancor J., Xu B., Kumar A., Rivas C.G., Sato K.. Uremic pericarditis, pericardial effusion, and constrictive pericarditis in end-stage renal disease: Insights and pathophysiology. Clin Cardiol. oct. 2017; 40(10):839-46. Publisher Full Text
- Montasser D.I., Skri Y., El Hassani K., Bahadi A., Aatif T., El Kabbaj D.. Péricardite aigue chez les patients dialysés chroniques à l’hôpital militaire du Maroc : à propos de 8 cas. Cas Clin Med Rev, représentant. 2021; 8
- Boullit C.. La péricardite urémique : présentation clinique, facteurs de risque et pronostic. Néphrologie & Thérapeutique. 2022; 18(5):432-433.
- Lazreg Y., Alaoui F., Hamdi F., Alaoui S., Boutaleb R., Hebil M.El, Haddiya I., Bentata Y.. Prévalence de la péricardite urémique. Néphrologie & Thérapeutique. 2016; 12(5)DOI
- Adler Y., Charron P., Imazio M., Badano L., Barón-Esquivias G., Bogaert J.. ESC Guidelines for the diagnosis and management of pericardial diseases: The Task Force for the Diagnosis and Management of Pericardial Diseases of the European Society of Cardiology (ESC)Endorsed by: The European Association for Cardio-Thoracic Surgery (EACTS. Eur Heart J. 2015; 7(v 2015;36(42):2921‐64)DOI
- Noubiap J.J., Agbor V.N., Ndoadoumgue A.L., Nkeck Kamguia, A Nyaga, U.F.. Epidemiology of pericardial diseases in Africa: a systematic scoping review. Heart. 2019; 105(3):180-8. DOI
- Isiguzo G., Bruyn E., Howlett P.. Diagnosis and Management of Tuberculous Pericarditis: What Is New?. Curr Cardiol Rep. 2020; 22, 2DOI
- Driouch L., Boughlala S., Assal O., Ouzeddoun N., Bayahia R., Benamar L.. Diagnostic et prise en charge de la tuberculose en dialyse péritonéale.Publisher Full Text
- Watase H., Oka K., Yamane F.. Hemodialysis-Related Pericarditis With Cardiac Tamponade. Cureus. 2022; 14(5)DOI
- Chou Yi-Hsina, b c, Lin Ting-Yua, b d, Tan Ann Charisc, Chen Fan-Yua, b c, Yu Wen-Chunga, b d, Lin Chih-Chinga, b c. Hemorrhagic pericardial tamponade in a peritoneal dialysis patient. Journal of the Chinese Medical Association. 2021; 84(7)DOI
- Ravi V., Iskander F., Saini A., Brecklin C., Doukky R.. Clinical predictors and outcomes of patients with pericardial effusion in chronic kidney disease. Clin Cardiol. 2018; 41:660-665. DOI
- Lazreg Y., Alaoui F., Hamdi F., Alaoui S., Boutaleb R., Hebil M.El, Haddiya I., Bentata Y.. Prevalence of uremic pericarditis. Nephrology & Therapeutics. 2016; 12(5)DOI
- Birrou M., Agrou M., Guerrouj H., Bayahia R., Benamar L.. A case of peritoneal-pericardial leak in a 19-year-old patient on peritoneal dialysis.Publisher Full Text
References
Rehman KA, Betancor J, Xu B, Kumar A, Rivas CG, Sato K, et al. Uremic pericarditis, pericardial effusion, and constrictive pericarditis in end-stage renal disease: Insights and pathophysiology. Clin Cardiol. oct 2017;40(10):839‑46. Disponible sur : https://onlinelibrary.wiley.com/doi/10.1002/clc.22770
Montasser DI, Skri Y, El Hassani K, Bahadi A, Aatif T, El Kabbaj D (2021) Péricardite aigue chez les patients dialysés chroniques à l’hôpital militaire du Maroc : à propos de 8 cas. Cas Clin Med Rev, représentant 8 : 343. est ce que je.org/10.23937/2378-3656/1410343
C. Boullit. La péricardite urémique : présentation clinique, facteurs de risque et pronostic. Néphrologie & Thérapeutique. 2022;18(5):432-433. est ce que je:10.1016/j.nephro.2022.07.089
Y. Lazreg, F. Alaoui, F. Hamdi, S. Alaoui, R. Boutaleb, M. El Hebil, I. Haddiya, Y. Bentata. Prévalence de la péricardite urémique. Néphrologie & Thérapeutique. 2016;12(5):315-. doi:10.1016/j.nephro.2016.07.069
Adler Y, Charron P, Imazio M, Badano L, Barón-Esquivias G, Bogaert J, et al. 2015 ESC Guidelines for the diagnosis and management of pericardial diseases: The Task Force for the Diagnosis and Management of Pericardial Diseases of the European Society of Cardiology (ESC)Endorsed by: The European Association for Cardio-Thoracic Surgery (EACTS). Eur Heart J. 7 nov 2015;36(42):2921‑64. Disponible sur : https://doi.org/10.1093/eurheartj/ehv318.
Noubiap JJ, Agbor VN, Ndoadoumgue AL, Nkeck JR, Kamguia A, Nyaga UF, et al. Epidemiology of pericardial diseases in Africa: a systematic scoping review. Heart. 1 févr 2019;105(3):180‑8. Disponible sur : https://doi.org/10.1136/heartjnl-2018-313922
Isiguzo, G., Du Bruyn, E., Howlett, P. et al. Diagnosis and Management of Tuberculous Pericarditis: What Is New?. Curr Cardiol Rep 22, 2 (2020). https://doi.org/10.1007/s11886-020-1254-1
Driouch L, Boughlala S, Assal O, Ouzeddoun N, Bayahia R, Benamar L. Diagnostic et prise en charge de la tuberculose en dialyse péritonéale. Bull Dial Domic [Internet]. 26 avril 2023 [cité le 18 mai 2024];6(1):25-34. Disponible sur : https://www.bdd.rdplf.org/index.php/bdd/article/view/76633
Watase H, Oka K, Yamane F, et al. (May 05, 2022) Hemodialysis-Related Pericarditis With Cardiac Tamponade. Cureus 14(5): e24748. doi:10.7759/cureus.24748
Chou, Yi-Hsina,b,c; Lin, Ting-Yua,b,d; Tan, Ann Charisc; Chen, Fan-Yua,b,c; Yu, Wen-Chunga,b,d,*; Lin, Chih-Chinga,b,c,*. Hemorrhagic pericardial tamponade in a peritoneal dialysis patient. Journal of the Chinese Medical Association 84(7):p 733-735, July 2021. | DOI: 10.1097/JCMA.0000000000000525
Ravi V, Iskander F, Saini A, Brecklin C, Doukky R. Clinical predictors and outcomes of patients with pericardial effusion in chronic kidney disease. Clin Cardiol. 2018; 41: 660–665. https://doi.org/10.1002/clc.22946
Y. Lazreg, F. Alaoui, F. Hamdi, S. Alaoui, R. Boutaleb, M. El Hebil, I. Haddiya, Y. Bentata. Prevalence of uremic pericarditis. Nephrology & Therapeutics. 2016;12(5):315-. doi:10.1016/j.nephro.2016.07.069
Birrou M, Agrou M, Guerrouj H, Bayahia R, Benamar L. A case of peritoneal-pericardial leak in a 19-year-old patient on peritoneal dialysis. Bull Dial Domic [Internet]. 2021 Jun. 7 [cited 2024 May 18];4(2):129-35. Available from: https://bdd.rdplf.org/index.php/bdd/article/view/61893
Downloads
Submitted
Accepted
Published
How to Cite
Issue
Section
License
Copyright (c) 2024 KAOUTAR DARBAL, Sara EL Maakoul, Naima Ouzzedoun, Loubna Benamar

This work is licensed under a Creative Commons Attribution 4.0 International License.






