The essentials for stress-free management of patients with polycystic kidney disease on peritoneal dialysis.
Clinical case report and review.
DOI:
https://doi.org/10.25796/bdd.v6i1.76683Keywords:
hepato renal polykystosis, peritoneal dialysisAbstract
Summary
Autosomal dominant polycystic hepatorenal disease is a common chronic kidney disease. Among the proposed replacement therapies, peritoneal dialysis (PD) concerns less than 7% of polycystic patients. The underutilization of PD is due to the fear of potential technical failure due to its potential impact on the large intraperitoneal organs.
To illustrate the feasibility of the use of PD with polycystic patients despite the risk of organomegaly, we report the case of a 70-year-old patient with polycystic hepatorenal disease who has been treated with peritoneal dialysis after a long history of renal transplantation and hemodialysis. The evolution of the patient on PD was satisfactory in terms of adequacy and fluid balance.
We then review the literature on the specifics of the management of polycystic patients on peritoneal dialysis.
The survival of patients with polycystic disease is identical in PD and hemodialysis. There is no excess risk of technical failure or peritonitis in polycystic patients being treated with PD. However, there are slightly more symptomatic hernias in polycystic patients treated with PD, though this is without impact on technical survival. The measurement of intraperitoneal pressure (IPP) is an aid to prescribing PD, allowing the volume of dialysate to be adapted for exchanges. If kidney reduction is necessary, renal artery embolization seems to be the preferred technique. It is associated with a better likelihood of technical survival, a reduction of temporary or permanent transfers to hemodialysis and a reduction of hospitalization time.
In conclusion, peritoneal dialysis is a viable option for patients with polycystic hepatorenal disease despite organomegaly. Early referral to PD could preserve patients’ vascular capital. Healthcare professionals should be educated about survival, technical failure, peritonitis, symptomatic hernias, and the use of PIP to optimize the management of polycystic patients on PD.
INTRODUCTION
Autosomal dominant polycystic kidney disease is a common chronic kidney disease affecting 1/800 births and accounting for 6-10% of chronic end-stage renal disease cases each year[1]. The main therapies proposed for these patients are transplantation (59%)[2]and hemodialysis (43%). Peritoneal dialysis (PD) is used in less than 7% of polycystic patients[2]. This underuse of PD in polycystic patients is related to an unfounded fear of potential technical failure associated with the presence of large intraperitoneal organs.
In the first part of this article, we report the clinical case of a 70-year-old polycystic patient treated with PD after a long history of renal transplantation and hemodialysis. In the second part, some specific points on the management of polycystic patients with PD will be briefly discussed. The aim of this article is to address the specificities related to the management of polycystic patients on PD in order to facilitate the use of PD in the early stages of their care.
CLINICAL CASE
In 2020, our center was faced with initiation of PD in a 70-year-old female with renal disease secondary to hepatorenal polycystic disease. The patient started hemodialysis in 2006. The period of hemodialysis was marked by multiple vascular access complications and the performance of a right nephrectomy in 2007 as part of the pre-transplant preparation. Renal transplantation was performed in 2009. In 2019, renal function deteriorated due to allograft nephropathy, so a return to hemodialysis was decided, and a two-channel central catheter was placed because of the impossibility of creating an arteriovenous fistula (AVF). The year 2019 was complicated by multiple episodes of E. faecium bacteremia, which finally led to a superior vena cava thrombosis in a septic context.
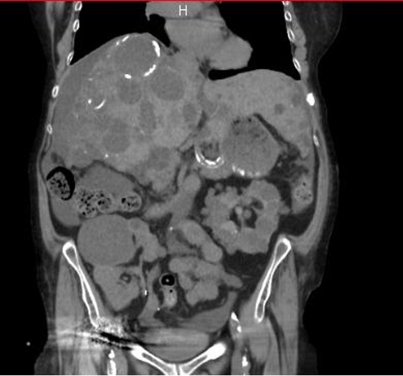
Given the inability to obtain vascular access, the patient was offered PD. The catheter was placed laparoscopically, and a hernia repair of the linea alba was performed simultaneously. At the time of PD, the patient’s weight was 53 kg for 1.66 m, and the residual diuresis was 1500 ml/24 h. The abdominal computed tomography (CT) scan of the patient at that time is shown inFigure 1..
Figure 1.Abdominal CT scan shows the large hepatomegaly, the residual native kidney on the left, and the dysfunctional renal graft in the right iliac fossa
The patient started continuous ambulatory peritoneal dialysis (CAPD) for 4 months with the following regimen: an infused volume of 1500 ml and 4 exchanges of Iso, Nutrineal, Iso, and Icodextrine. Then, in APD with a total volume of 7500 (Iso + Nutrineal), an infused volume of 1800 ml/exchange, and a long-day dwell with 1000 ml of Icodextrin. The evolution of the patient’s intraperitoneal pressure (IPP) is shown in Table I.
The patient’s progress on PD was satisfactory in terms of adequacy for PD and hydrosodic balance (Table II).
IPP measurement
| Dates | Infused volume (ml) | IPP (cm of water) |
|---|---|---|
| 2021 | 1500 | 11.5 |
| 2023 | 1500 | 16 |
| 2023 | 1000 | 12.5 |
Table II. Patient’s adequacy parameters
| Technique | Creatinine clearance/1.173 m | Kt/v | UF + Diuresis | Estimated RRF | Alb | nPCR | |
|---|---|---|---|---|---|---|---|
| Feb 2021 | CAPD | 177.82 | 3.43 | 1300 | 13.26 | 26.6 | 1.18 |
| Jun 2021 | CAPD | 146.85 | 2.3 | 1400 | 10.45 | 27.5 | 0.84 |
| Dec 2021 | APD | 147.35 | 3.05 | 1450 | 10.77 | 29 | 1.16 |
| April 2022 | APD | 153.56 | 3 | 1550 | 11.45 | 27.5 | 1.20 |
| Aug 2022 | APD | 123.59 | 2.55 | 1000 | 9.49 | 27.6 | 1.06 |
| Nov 2022 | APD | 112.47 | 2.06 | 1100 | 7.96 | 29.2 | 0.90 |
Conclusion
This clinical case illustrates the feasibility of PD in polycystic patients despite organomegaly. For this patient, an early referral to
PD in 2006 could have preserved her vascular capital.
WHAT YOU NEED TO KNOW ABOUT POLYCYSTIC KIDNEY DISEASE AND PERITONEAL DIALYSIS
The survival of patients with polycystic disease is identical in peritoneal dialysis and in hemodialysis
Several studies have examined the survival of patients with polycystic kidney disease treated with peritoneal dialysis (PD). Some studies have used patients treated with PD for nephropathy other than polycystic kidney disease (diabetes, vascular disease) as a control group. These studies show better survival in the polycystic kidney disease group than in the control group[3][4].
In other studies, the control group is a group of polycystic patients treated with hemodialysis. Again, there was no difference in survival between polycystic patients treated with hemodialysis and those treated with PD[4].
There is no increased risk of technical failure in patients with polycystic disease
A meta-analysis including 9 international studies and more than 7000 patients found no statistically significant difference between the polycystic group and the control group consisting of non-polycystic patients treated with PD. PD is therefore not associated with an increased risk of technical failure in the polycystic population[5].
There is no more peritonitis in polycystic patients
In the same meta-analysis, the frequency of episodes of peritoneal infection during PD was compared between the group of polycystic patients and the control group, which consisted of patients with other kidney diseases. No statistically significant difference was found between the two groups[5].
There is slightly more symptomatic hernia in polycystic patients
In a meta-analysis by Dupont et al, an excess risk of hernia was found in the polycystic disease group with an odds ratio of 2.28 (1.28 - 4.12). However, this excess risk did not affect the technical survival of this population[5].
IPP measurement is a prescription aid
One of the problems of polycystic disease is the large
References
Annual Report 2011 REIN.
Lassalle M, et al, Nephrol Ther. 2013 Sep;9 Suppl 1:S
Renal replacement therapy for autosomal dominant polycystic kidney disease (ADPKD) in Europe: prevalence and survival--an analysis of data from the ERA-EDTA Registry.
Spithoven EM, et al, Nephrol Dial Transplant. 2014 Sep;29 Suppl 4(Suppl 4):iv15-25.
Outcome of autosomal dominant polycystic kidney disease patients on peritoneal dialysis: a national retrospective study based on two French registries (the French Language Peritoneal Dialysis Registry and the French Renal Epidemiology and Information Network).
Sigogne M, et al, Nephrol Dial Transplant. 2018 Nov 1;33(11):2020-2026.
Peritoneal dialysis in polycystic kidney disease patients. Report from the French peritoneal dialysis registry (RDPLF).
Lobbedez T, et al, Nephrol Dial Transplant. 2011 Jul;26(7):2332-9.
Outcome of polycystic kidney disease patients on peritoneal dialysis: Systematic review of literature and meta-analysis.
Dupont V, et al, PLoS One. 2018 May 22;13(5):e0196769.
Identification of the Factors Associated With Intraperitoneal Pressure in ADPKD Patients Treated With Peritoneal Dialysis.
Sigogne M, et al, Kidney Int Rep. 2020 Apr 29;5(7):1007-1013.
Unilateral nephrectomy versus renal arterial embolization and technique survival in peritoneal dialysis patients with autosomal dominant polycystic kidney disease.
Pierre M, et al, Nephrol Dial Transplant. 2020 Feb 1;35(2):320-327.
Downloads
Submitted
Published
How to Cite
Issue
Section
License
Copyright (c) 2023 Fatouma Toure

This work is licensed under a Creative Commons Attribution 4.0 International License.






